Lidhje


Kujdes nga mishi i derrit/Ankohej nga dhimbja e kokës së vazhdueshme, mjekët i gjejnë vezë krimbash në trurin e tij

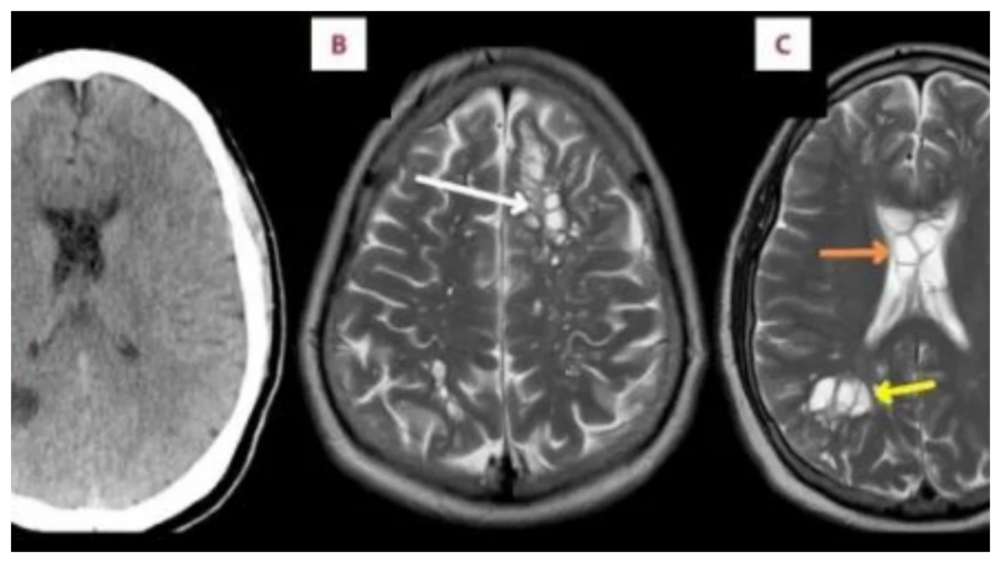
Një burrë në Florida që vuante nga migrena e vazhdueshme iu tha se kishte vezë krimbi në trurin e tij.Pacienti 52-vjeçar kërkoi ndihmë mjekësore pasi migrena e tij kronike u bë më e shpeshtë dhe ilaçet që përdorte për to nuk funksiononin më. Skanimet zbuluan ciste të shumta në të dy anët e trurit të tij që rezultuan të ishin vezë të krimbit shiriti i derrit. Vezët po i shkaktonin ënjtje nën kafkën e tij, e cila nga ana tjetër po çonte në migrenë të rregullt, sipas një raporti të shkruar nga mjekët e tij që u botua në American Journal of Case Reports.

Read more ...


Ja sa miliarda i kushtoi Mark Zuckerberg-ut rënia e Instagram dhe Facebook

Platformat Instagram dhe Facebook  pësuan një rënie në të gjithë botën të martën (5 Mars) dhe duket se ky mosfunksionim i tyre Mark Zuckebergut i ka kushtuar shumë. Kompania e tij  ka humbur një vlerë të konsiderueshme  prej 3 miliardë dollarë , sipas një raporti nga India Today. Sipas NASDAQ, aksionet e Meta u mbyllën me të kuqe me 1.6% në 490.22 USD këtë të martë. Mark Zuckerberg, themelues, kryetar dhe CEO i Meta, humbi mbi 2.79 miliardë dollarë në ditë në 176 miliardë dollarë në vlerën e tij të re, sipas Indeksit të Miliarderëve të Bloomberg, por ai ruajti pozicionin e tij si personi i katërt më i pasur në botë.

Read more ...


Thrilleri made in America spostohet nga kinemaja në realitet/Shpallet fajtore për vrasje, 26-vjeçarja që i dha armën Alec Baldwin në filmin “Rust”

Hannah Gutierrez Reed, e cila siguroi armën në filmin "Rust", u shpall fajtore për vrasje të pavullnetshme të mërkurën në një gjyq në Nju Meksiko, për vrasjen fatale në 2021 të kinematografes Halyna Hutchins. Ajo u vra nga një armë që mbahej nga aktori Alec Baldwin. Gutierrez Reed, e cila ishte përgjegjëse për sigurinë dhe ruajtjen e armëve të zjarrit në setin e filmit, u lirua nga akuza për manipulim provash, e cila u ngrit pasi prokurorët pretenduan se ajo i transferoi një "qese të vogël kokaine" dikujt tjetër, pas një interviste policie në ditën e të shtënave, më 21 tetor 2021.

Read more ...


Panajot Barka letër Mitsotakis: Agjencia shtetërore a lajmeve në Greqi më shkarkoi nga puna, shkak Beleri dhe Vorio Epiri

Agjencia Shtetërore e Lajmeve (AMNA) ka vendosur të mos e rinovojë kontratën e gazetarit Panajot Barka. Me një deklaratë për shtyp publikuar në faqen e tij zyrtare Unioni i Gazetarëve të Athinës proteston për mosrinovimin e kontratës së punës të gazetarit minoritar Barka me Agjencinë Shtetërore të Lajmeve të Greqisë AMNA. Siç bëhet me dije, gazetarit në fjalë nuk i është rinovuar kontrata pas me shumë se 20 vitesh bashkëpunimi të vazhdueshëm me këtë agjenci. Konkretisht në deklaratën në fjalë shkruhet: “Bordi Drejtues i Unionit të Gazetarëve të Athinës (ESIEA) dënon vendimin e drejtuesve të AGJENCISË SË LAJMEVE për të mos rinovuar kontratën e korrespondentit të AMNA-s në Gjirokastër Panagiotis Barkas, në mënyrë të padrejtë dhe abuzive, pas më shumë se 20 vitesh bashkëpunim.

Read more ...

XS
SM
MD
LG